Hindi naman talaga pare-parehas ang kulay ng gums ng tao.
Ang itim na gilagid o nag-iibang kulay nito ay maaaring may kinalaman sa isang medical condition, medication, paninigarilyo at iba pang lifestyle factors.
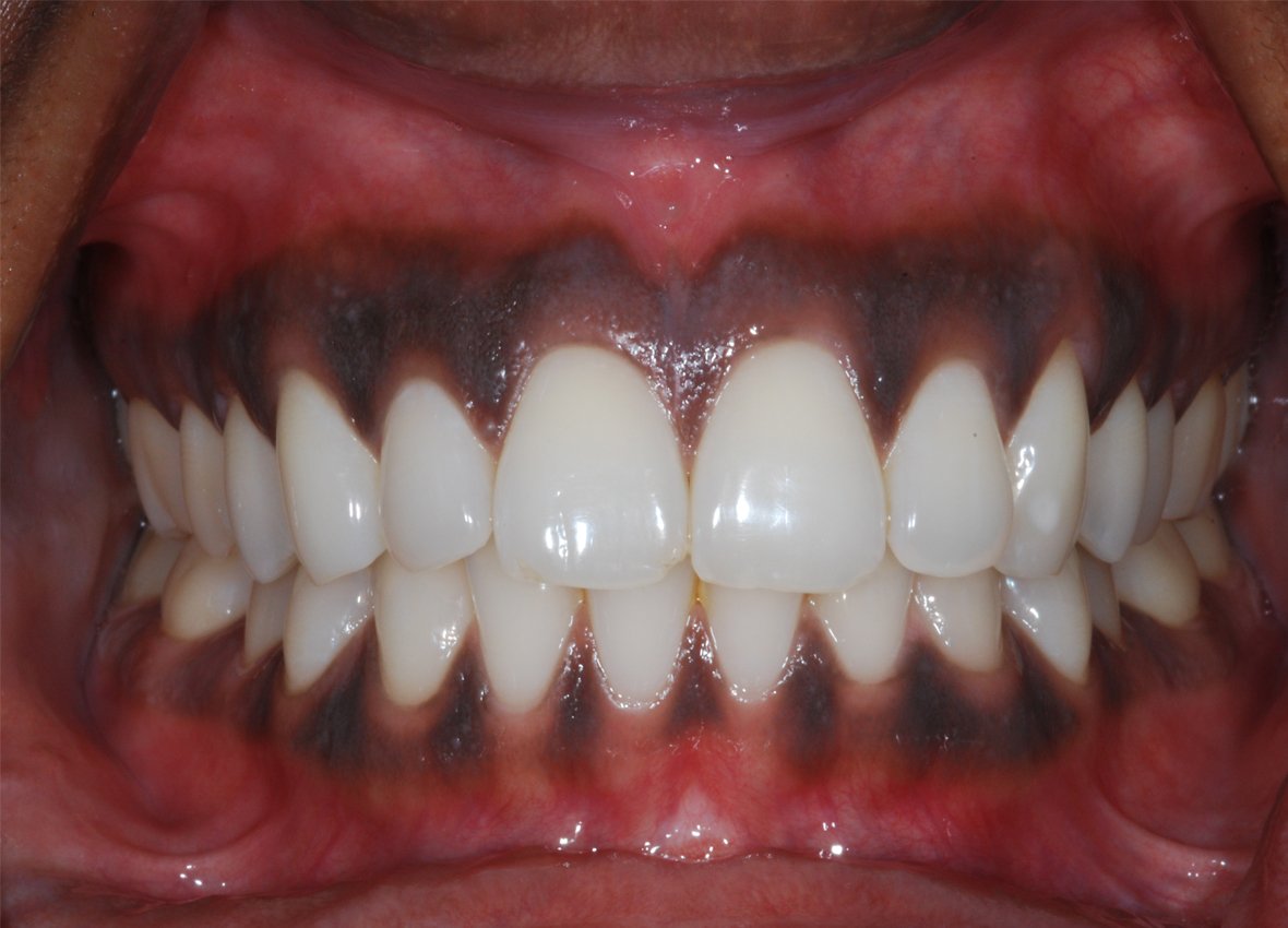
Ang gilagid natin ay tough tissues na nakapaligid at sumusuporta sa ating ngipin para ito ay nasa puwesto. Ang kulay ay iba-iba depende sa tao, mula red, pink hanggang sa brown o itim.
Mahalaga ang magkaroon ng good oral health para sa overall well-being. Ang pag-iiba ng kulay ng gums ng isang tao ay maaaring may kinalaman sa kanyang problema sa kalusugan, kaya mahalagang magpatingin sa doktor kung ganito na ang napapansin sa sarili.
Pero anu-ano ang mga dahilan kung bakit may mga gilagid na iba ang kulay?
MELANIN
Ang katawan natin ay natural na nagpoprodyus ng melanin, isang substance na nagbibigay sa balat, buhok at mga mata ng kulay. Kapag mas marami kang melanin sa katawan, mas darker ang kulay ng iyong balat, buhok at mga mata.
Ang pagkakaroon ng dark brown o black na gums ay dahil mas marami kang melanin sa katawan. Kung ang gums ng tao ay talagang dark na ang kulay noon pa man ay walang dapat ikabahala dahil normal lang ito.
Kung nag-iiba ang kulay ng gilagid sa maiksing panahon o kaya ay may black patches na tumutubo o makikita rito, hindi na ito melanin dahil baka may medical issue ka na at senyales din ito para magpatingin na sa doktor.
PANINIGARILYO
Ang paninigarilyo ay malaking dahilan para ang gilagid ay mangitim. Tinatawag itong melanosis.
May specialized cells tayo sa katawan na tinatawag na melanocytes na lumilikha ng melanin. Ang nicotine sa tobacco ay nakaaapekto sa melanocytes para mag-produce ng mas maraming melanin than usual.
Ang gilagid ay maaaring mas maging brown o itim. Ang pag-iba ng kulay ay maaaring makita in patches o makaapekto sa buong loob ng bibig. Ang loob o inner cheeks at lower lip ay maaari ring mag-iba ng kulay.
Sa pag-aaral, may kaugnayan ang paghinto sa paninigarilyo sa pagbaba ng gum discoloration. Ibig sabihin, ang darker patches ng kulay sa gums na sanhi ng paninigarilyo ay maaaring reversible.
MEDICATION
Ang minocycline ay gamot laban sa acne (o malalang tagihawat) at iba pang impeksyon gaya ng chlamydia. Ang isang hindi pangkaraniwang side effect ng minocycline ay pigmentation o discoloration, na kadalasang nakikita sa bibig.
Maaaring sumangguni o magtanong sa doktor na nagbigay sa inyo ng medication at sabihin na discoloration ang nararanasan upang mapalitan ito ng ibang alternatibong gamot.
AMALGAM TATTOO
Ang amalgam tattoo ay maaaring lumabas saan man sa loob ng bibig pero kadalasan itong lumalabas kung saan naroon ang isang filling. Ang itsura nito ay black, grey, o blue patch sa loob ng bibig.
Ang amalgam ay ang pinagsamang metals na ginagamit bilang fillings at crowns. Kung ang particles sa material na ito ay na-dislodge, lalabas ito sa ilalim ng skin ng gilagid.
Kadalasan hindi kailangan dito ng gamutan sa amalgam tattoos, dahil wala naman itong health risks.
ACUTE NECROTIZING ULCERATIVE GINGIVITIS
Ang acute necrotizing ulcerative gingivitis ay isang gum infection na tinatawag ding trench mouth. Nagiging sanhi ito ng lagnat, pananakit sa gilagid, at masamang amoy o pagkakaroon ng bad breath. Ang impeksyon na ito ay maaaring maging daan din sa pangingitim ng gilagid lalo na kung ang layer ng patay na tissue ay namumuo sa gilagid.
Ang pagkakaroon ng trench mouth ay resulta mula sa mabilis na pagtubo ng bacteria sa bibig, kadalasan ito ay dahil sa gingivitis. Maaaring mamuo ang bacteria dahil sa poor oral hygiene, stress, kakulangan sa pagtulog o pagkakaroon ng unhealthy diet.
Ang maagang senyales ng pagkakaroon ng trench mouth ay kinabibilangan ng pagdurugo sa gums, mabahong hininga, maraming laway na hindi karaniwan at pakiramdam na may sakit. Ang ulcers ay maaaring mamuo sa gums sa edge o frame ng ngipin.
Sa pagtungo sa clinic agad na lilinisan ito ng dentist at maaaring magreseta ng antibiotics.
Para hindi maulit ang impeksyon, ang proper oral hygiene ay mahalaga rito. Maliban sa pagsisipilyo ay mabuting gumamit ng mouthwash.
ADDISON’S DISEASE
Nakaaapekto sa adrenal glands ang Addison’s disease. Ang glands na ito ay lumikha ng iba’t ibang uri ng hormones. Ang disorder na ito ay nagpapahinto sa glands mula sa pag-produce ng sapat na hormones.
Ang early symptoms nito ay pagkapagod, mas laging uhaw na hindi pangkaraniwan, biglang pagbaba ng timbang, kawalan ng ganang kumain, panlalambot ng katawan o muscles.
Habang lumalala ang Addison’s disease ay nakararanas ang pasyente ng pangingitim ng gilagid at mga labi. Ang medical term para rito ay hyperpigmentation.
Habang naaapektuhan ang mga labi at gilagid, ang Addison’s disease ay maaari ring makaitim o magbigay ng darker patches sa balat o ibang parte ng katawan. Karaniwang makikita ang darker patches sa mga tuhod, knuckles, sa mga guhit sa palad at sa gilid ng peklat.
Ang mga karaniwang kaso ng Addison’s disease ay dahil sa pagkakaroon ng problema sa immune system. Ito ang nagiging dahilan kung bakit ang katawan ay umaatake at sumisira sa adrenal glands.
Kung hindi magagamot ang Addison’s disease may komplikasyong idudulot ito. Kapag bumaba pa ang hormone levels magkakaroon pa ng adrenal crisis na may sintomas ng matinding dehydration, mabilis at kahirapan sa paghinga, pagkahilo, pamumutla at pagpapawis ng balat. Ang adrenal crisis ay isang medical emergency.
6411
