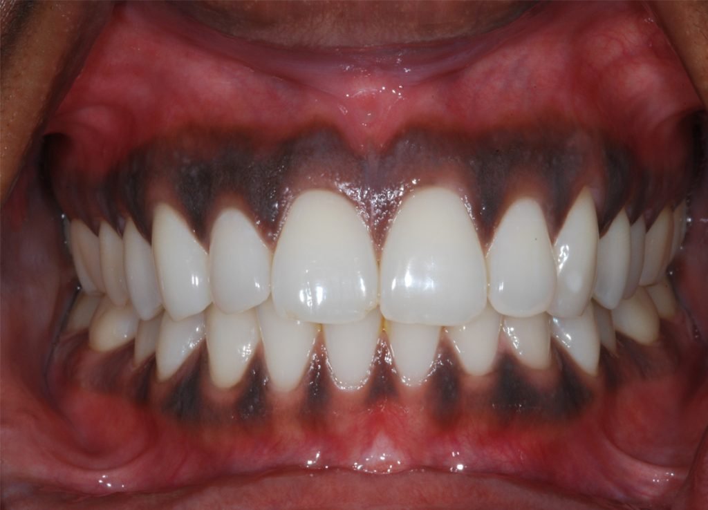
Hindi naman talaga pare-parehas ang kulay ng gums ng tao. Ang itim na gilagid o nag-iibang kulay nito ay maaaring may kinalaman sa isang medical condition, medication, paninigarilyo at iba pang lifestyle factors. Ang gilagid natin ay tough tissues na nakapaligid at sumusuporta sa ating ngipin para ito ay nasa puwesto. Ang kulay ay iba-iba depende sa tao, mula red, pink hanggang sa brown o itim. Mahalaga ang magkaroon ng good oral health para sa overall well-being. Ang pag-iiba ng kulay ng gums ng isang tao ay maaaring may kinalaman…
Read More