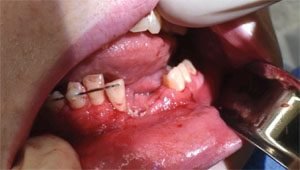
Duguan ang bibig, sira ang ngipin, at nabutas ang panga. Ito ang sinapit ng isang 17-anyos na lalaki sa Amerika habang ginagamit nito ang kanyang electronic cigarette na wala man lang babala o senyales bago niya sapitin ang pagsabog ng device na ito sa kanyang mukha.
Ang freak accident na ito ay nasa isang case study na inilathala lamang noong Miyerkoles para na rin magsilbing aral sa lahat.
Dahil malayo ang kanilang tahanan na nasa Nevada ay bumiyahe pa ng 250 milya ang binata at ang ina nito upang dalhin ang biktima sa isang pediatric hospital sa Utah.
Nagdurugo pa ang mukha ng biktima nang makarating sa pagamutan kaya agad na dinala ito sa surgery, upang maayos agad ang nasirang buto.
Hindi nabanggit sa ulat kung anong klaseng e-cigarette ang ginamit ng biktima.
“People need to know before they buy these devices that there’s a possibility they’re going to blow up in your pocket, in your face,” ani Dr. Katie Russell, ang trauma medical director ng ospital na pinagdalhan sa binata at siya rin ang unang gumamot dito.
Ang insidenteng ito ay isa lamang sa libong naitala noong mga nagdaang taon.
Ayon sa Food and Drug Administration (FDA) ng Amerika, sa pagitan ng 2009 at 2016, nakapagtala na ng 134 insidente kung saan ang e-cigarette ay nauuwi sa overheating, sunog o pagkasabog nito sa Amerika. Mahigit sa 50 katao ang nasaktan.
Samantala sa pag-aaral na isinagawa noong 2018, tinatayang mahigit sa 2,000 na ang sumabog na e-cigarette at nagdulot din ito ng pagkasunog kaya’t dumami ang nabiktima nito at naisusugod sa mga ospital mula 2015 hanggang 2017 sa Amerika.
Dito sa Pilipinas, may mga kaso na rin kung saan ang mga biktima ay nasasabugan at napipinsala rin nang husto.
PANGANIB DALA NG E-CIGARETTES
Batid natin na may peligro sa kalusugan ang paggamit ng e-cigarette tulad ng epektong nagagawa sa katawan ng mga tradisyunal na tobacco cigarette. Ngunit may nakakaligtaan tayo na may peligro ito dahil ang device ay maaaring sumabog.
Anumang oras ay may posibilidad na sumabog ang device na ito sa bulsa man o sa iyong mukha, hita, kamay, dibdib at kung saan-saan pa.
Ang pagsabog ay maaaring makabulag, makasira ng ngipin, makasugat ng dila, panga, gumlines, at maaaring ikamatay.
Maaari ring sa pagsabog ng device na ito ay makapaminsala ng ari-arian, o ng ibang tao.
IBA PANG PAGSABOG NG E-CIGARETTES
Isang 24-anyos na lalaki rin ang nasabugan din ng gamit nitong e-cigarette. Ang shrapnel na nasa e-cigarette ay sumabog at dumiretso sa carotid artery ng biktima.
Ang carotid artery ay major blood vessel o ugat sa leeg na nagsusuplay ng dugo sa utak, leeg, at mukha. Dalawa ang ating carotid arteries na matatagpuan sa kanan at kaliwang bahagi ng leeg.
Mayroon ding isang teen na halos mabulag ang isang mata nang sumabog ang ginagamit nitong e-cigarette.
Battery ang pinagmumulan ng pagsabog ng device na ito. May isang nabiktima rin nito kung saan biglang sumabog ang e-cigarette sa bulsa na nagresulta sa 3rd degree na pagkasunog sa hita ng lalaki.
Dahil popular ang paggamit ng device na ito, mas nagiging prone ang tao sa disgrasya.
PAANO SUMASABOG ANG E-CIGARETTES?
Ang e-cigarettes, vape pens o electronic cigarettes ay handheld, battery-powered devices na inimbento para ma-release ang dami ng nicotine sa pamamagitan ng vapor ng gumagamit nito.
Unang inilabas ito sa merkado noong 2007 hanggang sa maging popular ito hanggang sa ngayon.
Bagama’t bihira ang nabibiktima ng pagsabog ng vape ay hindi naman dapat ito balewalain dahil ang pagsabog ay delikado – maaaring makapinsala, makasugat o hindi kaya ay makamatay.
Ang eksaktong dahilan ng pagkasabog ng naturang device ay hindi pa natutuklasan o hindi pa malinaw sa ngayon. Ngunit sa lumalabas na ebidensya, may mga isyu dahil sa bateryang nasa vapes.
Kapag mahinang klase o walang kalidad ang ginagamit na vape o ang mismong mga baterya nito ay maaaring maging mitsa ito ng inyong kaligtasan o buhay. (Ann Esternon)
TIPS PARA MAIWASAN ANG PAGSABOG NG E-CIGARETTES
Ayon sa FDA ng Amerika, may mga paraan para maging ligtas sa paggamit ng e-cigarettes. Alamin at tandaan ang mga bagay na ito at ibahagi rin sa iba para sa maigting pang pag-iingat.
- Ikonsidera ang paggamit ng e-cigarette na may safety features. Tulad nito ay firing button locks, vent holes, at may proteksyon kontra overcharging.
- Panatilihin ang loose batteries (mga wala sa mismong vapes) at nasa case upang maiwasan ang pagkakadikit nito sa metal objects. Huwag na huwag itatabi ang batteries sa mga barya, susi, o iba pang metal na nasa inyong bulsa. Iwasan ding maitapat o mailagay ang vape sa direktang init ng temperatura (halimbawa sa sikat ng araw).
- Huwag na huwag i-charge ang inyong e-cigarettes gamit ang inyong phone o table charger. Laging gamitin lamang ang nakalaang charger para rito.
- Huwag i-charge ang inyong vape device nang magdamagan, o iwan itong naka-charge na hindi ninyo namamalayan.
- Kung nasira na ang inyong e-cigarette at ang battery nito ay hindi napapalitan agad na makipag-ugnayan sa manufacturer. Huwag na ring gamitin pa ang batteries kung ito ay nabasa.
MGA DAPAT TANDAAN SA PAGGAMIT NG E-CIGARETTES
Hanggang ang lahat ng vape at mga baterya nito ay sumusunod sa safety standard, ang inyong pinakakaligtasan laban sa battery explosions ay ang kaalaman sa paggamit nito, maging ang pag-charge ng batteries.
– Siguraduhing nababasa at naiintindihan ang recommendations ng manufacturer sa paggamit at pag-iingat nito. Kung ang inyong vape ay walang instructions o mayroon pa kayong katanungan, agad na iparating ito sa manufacturer.
– Huwag tanggalin o i-disable ang safety feature ng device nito gaya ng fire button locks o vent holes – na sadyang idinisenyo upang maiwasan ang overheating at explosions.
– Gamitin lamang ang batteries na intended o rekomendado sa inyong device. Huwag ihalo ang iba’t ibang brands ng batteries. Huwag ding gamitin ang batteries na may ibang charge levels, o gumamit ng bago at lumang mga baterya.
– I-charge ang inyong vape sa malinis, tuyo at flat na lugar. Iiwas ito sa madaling pagmulan ng sunog. Ipwesto lamang ito sa lugar na inyong makikita o mababantayan. Huwag itong ilagay sa sofa, unan, kama kung saan pwedeng mag-overheat at pagmulan ng sunog o pagsabog.
– Iiwas ang vape sa sobrang taas na temperaturang lugar gaya ng pagtapat nito sa araw, sa sasakyan, o sa malapit sa kalan, oven at iba pa.
554 